Interpreting Ultrasound Images
When it comes to reading ultrasound images, it’s important to understand the common features that appear and how to interpret them correctly. This guide will walk you through the process and provide you with valuable information to enhance your ultrasound reading skills.
Echogenicity
Echogenicity refers to the brightness or darkness of an area within an ultrasound image. It is crucial to distinguish various levels of echogenicity as it helps in identifying different structures. For instance, hyperechoic areas appear bright and represent tissues that reflect more ultrasound waves. On the other hand, hypoechoic areas are darker and indicate tissues that reflect fewer waves. Familiarize yourself with the typical echogenicity patterns of different organs to accurately interpret ultrasound images.
Shadowing
Shadowing is a phenomenon that occurs when sound waves encounter a highly reflective or attenuating structure in their path, resulting in a shadow-like appearance beyond that structure. This can make it challenging to assess structures that lie deep to the shadow. Understanding and recognizing shadowing is crucial to avoid misinterpretation and ensure accurate diagnoses. Recognizing the direction and extent of shadowing can provide valuable information about the underlying structures.
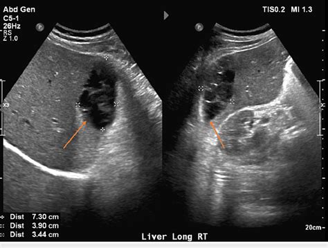
Shape Recognition
Shape recognition involves accurately identifying and assessing the shape of structures within an ultrasound image. This skill is particularly essential when examining organs such as the liver, kidneys, or uterus. By understanding the typical shape of these organs and comparing them to the observed images, you can determine if there are any abnormalities. Pay attention to any irregularities in contour, size, or symmetry, as they may indicate potential pathologies or conditions.
Tissue Differentiation
Tissue differentiation pertains to the ability to differentiate between various tissues or structures within an ultrasound image. This involves identifying different textures, borders, and echoes that characterize specific tissues. For example, differentiating between solid and cystic masses or distinguishing between a tumor and surrounding healthy tissue. Developing proficiency in tissue differentiation is crucial for accurate and precise ultrasound interpretation, enabling prompt and appropriate medical decisions.
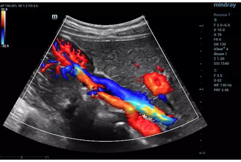
Color Doppler Imaging
Color Doppler imaging is a technique that allows visualization of blood flow within the body. It utilizes color coding to represent the direction and velocity of blood flow. By using color Doppler, you can assess the presence, direction, and characteristics of blood flow in various vessels or organs. This provides valuable information for diagnosing conditions such as vascular abnormalities, thrombosis, or the presence of tumors. Mastering the interpretation of color Doppler images can greatly enhance your ultrasound reading skills.
In conclusion, interpreting ultrasound images requires a comprehensive understanding of various features. By familiarizing yourself with echogenicity, shadowing, shape recognition, tissue differentiation, and color Doppler imaging, you can develop the necessary skills to accurately read and interpret ultrasound images. Remember, practice and exposure to a variety of cases are essential for continued improvement in this field.
Understanding Ultrasound Reports
An ultrasound report is a crucial tool in the diagnosis and monitoring of various medical conditions. It provides valuable insight into the internal structures of the body, allowing healthcare professionals to make accurate assessments. Understanding how to read and interpret an ultrasound report is essential for both medical professionals and patients. In this article, we will explain the key components of an ultrasound report and provide guidance on how to interpret the findings accurately.
Components of an Ultrasound Report
An ultrasound report typically consists of several components that provide detailed information regarding the examination. These components include:
- Patient Information: This section includes the patient’s name, age, and relevant medical history. It is important to ensure the accuracy of this information for proper identification and reference.
- Indication for Examination: This describes the reason why the ultrasound was performed. It could be to assess a specific symptom, monitor a known condition, or evaluate a particular area of concern.
- Technique: This section outlines the specific ultrasound techniques used during the examination, such as the type of equipment and transducer used, the scanning method employed, and any special maneuvers performed.
- Findings: The findings section is the core of the ultrasound report. It contains a detailed description of the structures visualized during the examination. The radiologist or sonographer will carefully evaluate each area of interest and note any abnormalities, measurements, or pertinent observations. It is vital to pay close attention to this section for accurate interpretation.
- Impression: The impression provides a concise summary of the findings and offers an interpretation of the ultrasound examination. This section often includes a diagnosis, assessment of the condition’s severity, and possible recommendations for further evaluation or treatment.
- Images: Ultrasound reports may include images that accompany the findings section. These images provide visual support and aid in understanding the written description. It is crucial to review the images carefully while referring to the corresponding findings.
- Conclusion: The conclusion section briefly summarizes the overall assessment and highlights any important clinical implications found in the report.
By understanding the key components of an ultrasound report, one can navigate through the report more effectively and grasp the critical information to make informed decisions regarding diagnosis and treatment.
Interpreting Ultrasound Findings
Interpreting ultrasound findings requires a comprehensive understanding of anatomy and pathology. Here are some essential tips to help accurately interpret ultrasound findings:
- Review the Impression: Start by reading the impression section to gain a general understanding of the radiologist’s interpretation. This will provide valuable context when reviewing the detailed findings and images.
- Analyze the Findings Description: Carefully read the findings section, paying attention to the specific details regarding structures, measurements, and any abnormal findings. It is crucial to understand the normal appearance of the structures being evaluated to identify any deviations from the norm.
- Correlate Findings with Clinical History: Consider the patient’s clinical history and symptoms when interpreting ultrasound findings. Understanding the correlation between the observed abnormalities and the patient’s symptoms or medical condition can help in making an accurate diagnosis.
- Refer to the Images: Take time to review the accompanying images while referring back to the findings description. Visualizing the structures and abnormalities can enhance comprehension and facilitate interpretation.
- Consult with Specialists: When faced with complex or inconclusive findings, consulting with specialists or experienced colleagues can provide valuable insights and ensure accurate interpretation.
- Continuing Education: Stay updated with the latest advancements and guidelines in ultrasound interpretation through ongoing professional education. This helps maintain competency and ensures knowledge of evolving techniques and diagnostic criteria.
Interpreting an ultrasound report accurately is a skill that improves with experience and ongoing education. By following these tips and continuously refining your knowledge, you can confidently evaluate ultrasound findings and contribute to accurate diagnostic assessments.
Remember, communication with the interpreting healthcare professional is crucial in understanding the ultrasound report fully. They can provide further clarification and address any questions or concerns you may have.
Practicing with Real-Life Cases
One of the best ways to improve your skills in reading ultrasounds is through practicing with real-life cases. This allows you to apply theoretical knowledge to actual scenarios and gain practical experience in interpreting ultrasound images. There are various resources and opportunities available that can help you enhance your ultrasound reading skills.
1. Online Case Studies: Many medical websites and organizations provide online case studies that simulate real-patient scenarios. These case studies consist of ultrasound images along with relevant clinical information. By analyzing these images and understanding the corresponding clinical context, you can effectively practice your ultrasound reading abilities. Some popular websites that offer online case studies include Radiopaedia.org and Sonoworld.com.
2. Medical Textbooks and Journals: Medical textbooks and journals often contain case studies that include ultrasound images. These resources provide in-depth explanations of various pathological conditions and highlight key features in the ultrasound scans. By studying these case studies in detail, you can develop a better understanding of ultrasound interpretation and train your eyes to identify specific findings.
3. Ultrasound Workshops and Conferences: Attending ultrasound workshops and conferences can provide valuable opportunities to practice reading ultrasounds. These events often feature hands-on workshops where you can work with real ultrasound machines and interpret images under the guidance of experienced professionals. Such interactive sessions allow you to improve your skills through direct feedback and interaction with experts in the field.
4. Mentorship Programs: Joining mentorship programs or seeking guidance from experienced sonographers or radiologists can greatly aid in improving your ultrasound reading abilities. Mentors can provide personalized feedback, share their expertise, and help you understand complex cases. This one-on-one guidance can significantly enhance your skills and boost your confidence in reading ultrasounds.
5. Ultrasound Simulation Software: There are various ultrasound simulation software available that aim to replicate real-patient scenarios. These programs allow you to practice ultrasound scanning and interpretation in a simulated environment. They often provide a range of cases and scenarios for users to practice on, offering a safe and controlled setting to hone your skills and gain confidence in reading ultrasounds.
6. Collaborate with Peers: Engaging in collaborative learning with your peers can be a fun and effective way to practice reading ultrasounds. You can form study groups, exchange ultrasound images, and discuss findings and interpretations. This kind of interactive learning promotes discussion and knowledge sharing, enabling you to learn from each other’s perspectives and enhance your understanding of ultrasound imaging.
7. Clinical Rotations and Internships: Participating in clinical rotations and internships in departments that heavily rely on ultrasounds, such as radiology or obstetrics and gynecology, can provide valuable exposure to real-life cases. By actively participating in patient care and evaluating ultrasounds alongside experienced professionals, you can develop a comprehensive understanding of ultrasound interpretation and gain practical experience.
8. Feedback and Analysis: Seeking regular feedback on your ultrasound readings and analyzing your own interpretations can significantly contribute to your growth as a reader. Comparing your findings with expert interpretations and reflecting on areas of improvement can help you refine your skills and identify common errors or patterns. Feedback and self-analysis allow you to continuously learn and develop your ultrasound reading proficiency.
By utilizing these resources and opportunities, you can effectively practice and improve your skills in reading ultrasounds. Remember, consistent practice and exposure to a variety of cases are key to becoming proficient in interpreting ultrasound images.

