What is a Cracked Tooth?
A cracked tooth refers to a condition where a tooth is damaged, resulting in a split or fracture in the tooth structure. It can occur due to various reasons, such as trauma from accidents or injuries, biting down on hard objects, grinding or clenching of teeth, or even weakened teeth from large fillings or tooth decay.
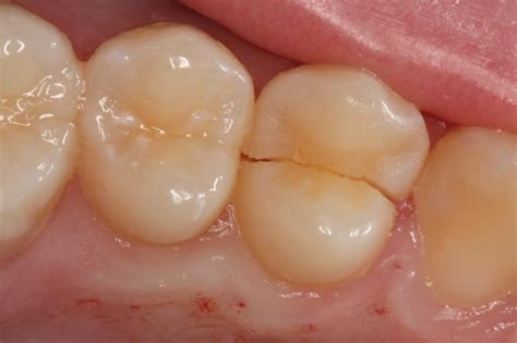
When a tooth becomes cracked, it is often accompanied by pain or discomfort, especially when chewing or biting. Sensitivity to hot or cold substances, as well as sugary or acidic foods, may also be experienced. In some cases, the crack may not be visible to the naked eye and can go unnoticed without dental examination and imaging techniques.
There are different types of cracks that can affect a tooth, ranging from superficial ones that only affect the outer layer (enamel) to more severe cracks that can extend into the inner layers, including the dentin and pulp. Identifying the type and severity of the crack is crucial in determining the appropriate treatment method.
Cracked teeth are not only a cosmetic concern but can also lead to further complications if left untreated. The cracks provide an entry point for bacteria, which can lead to tooth decay or infection in the pulp, causing intense pain. Additionally, large cracks can weaken the tooth structure, making it more susceptible to further damage or even breakage.
Addressing a cracked tooth in a timely manner is key to prevent further complications and preserve the tooth. It is essential to visit a dentist as soon as possible if you suspect a cracked tooth. A thorough examination, which may involve dental X-rays or other imaging techniques, will help the dentist determine the extent of the crack and recommend an appropriate treatment plan.
Depending on the severity and location of the crack, treatment options may include:
Dental bonding: In cases where the crack is superficial and limited to the enamel, dental bonding can be performed. This involves applying a tooth-colored resin material to the affected area, which is then shaped and hardened using a special light. Dental bonding helps restore the tooth’s appearance and provides added strength.
Dental crown: For more extensive cracks that have affected a larger portion of the tooth or have reached the inner layers, a dental crown may be recommended. A crown is a custom-made cap that is placed over the damaged tooth, providing protection and support. The affected tooth is prepared by removing any decayed or weakened areas before the crown is placed.
Root canal therapy: If the crack has extended into the pulp, causing infection or inflammation, root canal therapy may be necessary. During this procedure, the infected pulp is removed, and the root canal is cleaned and filled with a biocompatible material. A dental crown is usually placed after a root canal to strengthen and protect the tooth.
Tooth extraction: In cases where the crack is severe and the tooth cannot be saved, extraction may be the only option. After the extraction, the missing tooth can be replaced with a dental implant, bridge, or dentures to restore function and aesthetics.
Overall, the treatment for a cracked tooth will depend on several factors, including the extent of the damage, location of the crack, and overall oral health. It is important to consult with a dentist who can provide a proper diagnosis and recommend the most suitable treatment option.
Preventing cracked teeth can be achieved by avoiding behaviors that can put excessive stress on the teeth, such as chewing on hard objects like ice or using teeth as tools. Wearing a mouthguard during sports activities or at night if grinding or clenching is an issue can also help protect the teeth from damage. Additionally, maintaining good oral hygiene practices, such as regular brushing, flossing, and dental check-ups, can help detect and address any potential issues before they worsen.
In conclusion, a cracked tooth is a condition where a tooth is damaged due to a split or fracture in its structure. Prompt diagnosis and appropriate treatment are essential to prevent further complications and preserve the tooth. Consulting a dentist and following preventive measures can help maintain healthy teeth and avoid the pain and discomfort associated with cracked teeth.
Common Causes of a Cracked Tooth
A cracked tooth can be a painful and concerning dental issue that may require immediate attention. Understanding the different causes of a cracked tooth can help you avoid potential damage and take preventive measures to keep your teeth healthy. Here are some common causes of a cracked tooth:
1. Teeth Grinding: One of the leading causes of a cracked tooth is teeth grinding or bruxism. This habit puts excessive pressure on your teeth, leading to cracks over time. Grinding or clenching your teeth, especially at night, can weaken the tooth structure and make it more susceptible to fractures.
2. Biting into Hard Substances: Another cause of a cracked tooth is biting into hard substances like ice, hard candies, or even pen caps. These hard objects can exert excessive force on your teeth, causing them to crack. It is important to be cautious while eating or chewing on objects that can potentially damage your teeth.
3. Trauma: Accidents or injuries to the mouth can cause a cracked tooth. A strong blow to the face during sports activities, a fall, or any other traumatic event can result in a cracked tooth. It is vital to seek immediate dental attention if you suspect a tooth fracture due to trauma.
4. Weakening of the Tooth: Teeth with large fillings are more prone to cracking. Large fillings can weaken the tooth structure, making it more susceptible to fractures. Over time, the pressure from chewing and biting can cause the tooth to crack. Dentists often recommend dental crowns or other restorative procedures to protect weakened teeth from further damage.
It’s essential to note that a cracked tooth may not always cause immediate pain or discomfort. Some crack types, such as hairline cracks, can be difficult to detect without a professional dental examination. However, if left untreated, even small cracks can worsen over time and lead to more severe dental issues.
To maintain good oral health and prevent a cracked tooth, it is crucial to follow certain preventive measures. These include:
1. Wearing a mouthguard during sports activities to protect your teeth from trauma.
2. Avoiding chewing on hard objects or using your teeth as tools.
3. Practicing stress-reducing techniques to prevent teeth grinding.
4. Visiting your dentist regularly for check-ups and professional dental cleanings.
5. Seeking timely dental treatment if you notice any signs or symptoms of a cracked tooth, such as tooth sensitivity, pain while chewing, or an unusual sensation in your mouth.
In conclusion, a cracked tooth can occur due to various reasons such as teeth grinding, biting into hard substances, trauma, or weakening of the tooth due to large fillings. Taking preventive measures and seeking timely dental treatment are essential for maintaining a healthy and intact set of teeth. Regular dental check-ups can help detect and address any dental issues, ensuring optimal oral health.
Symptoms of a Cracked Tooth
A cracked tooth can be a painful dental issue that requires prompt attention. Recognizing the symptoms of a cracked tooth is crucial in order to seek timely treatment. Common symptoms may include tooth pain when biting or chewing, sensitivity to hot or cold temperatures, or occasional sharp pain.
When you have a cracked tooth, it can cause discomfort and affect your ability to eat or drink comfortably. The severity of the symptoms can vary, depending on the extent and location of the crack.
1. Tooth pain when biting or chewing
One of the most common symptoms of a cracked tooth is pain when biting or chewing. This occurs because the pressure applied to the cracked tooth causes movement in the crack, leading to irritation of the nerve endings. You may experience sharp or shooting pain in the affected tooth while eating food or chewing on hard objects.
2. Sensitivity to hot or cold temperatures
If you have a cracked tooth, you may notice increased sensitivity to hot or cold temperatures. This sensitivity occurs when the crack extends into the tooth’s inner layers where the nerve endings are located. As a result, exposing the tooth to hot or cold stimuli can trigger a sharp, shooting pain or a lingering ache.
3. Occasional sharp pain
Another symptom commonly associated with a cracked tooth is occasional sharp pain. This pain may occur spontaneously, without any apparent trigger, and can be intense and sudden. It may feel like a brief electric shock shooting through the affected tooth.
It is important to note that cracked teeth may not always exhibit visible signs or cause persistent pain. Some cracks can be hairline fractures that are difficult to detect without professional dental examination and X-rays. Therefore, it is crucial to visit your dentist if you experience any of the symptoms mentioned above or suspect a cracked tooth.
Ignoring a cracked tooth and leaving it untreated can lead to further complications, such as tooth infection, formation of abscesses, or even tooth loss. Early intervention and appropriate treatment can help prevent these issues and save the tooth.
If you suspect a cracked tooth, promptly schedule an appointment with your dentist. They can evaluate your symptoms, perform diagnostic tests, and recommend the most suitable treatment option to fix your cracked tooth.
Note: The image URLs provided are placeholders and may not display an actual image. Please replace them with appropriate URLs when including actual images.
Diagnosing a Cracked Tooth
A cracked tooth is a common dental problem that can cause discomfort and pain. If you suspect that you have a cracked tooth, it is important to seek professional help. Dental professionals are trained to diagnose and treat various dental conditions, including cracked teeth.
One of the primary ways a dental professional diagnoses a cracked tooth is through a thorough examination. During this examination, the dentist will visually inspect your teeth and look for signs of cracks or damage. They may use a dental mirror and other specialized tools to get a closer look at the affected tooth. The dentist will carefully examine the tooth’s surface, edges, and surrounding area to identify any potential cracks or fractures.
In addition to the visual inspection, the dentist may also perform diagnostic tests, such as X-rays. X-rays are a valuable tool in diagnosing cracked teeth because they can reveal cracks that are not visible to the naked eye. X-rays provide a detailed image of the tooth’s internal structure, allowing the dentist to identify any hidden cracks or fractures.
Once the dentist has completed the examination and diagnostic tests, they will make a definitive diagnosis regarding the presence of a cracked tooth. They will explain the extent of the crack and any accompanying symptoms or complications. The dentist will then discuss the available treatment options and recommend the most suitable course of action.
It is worth noting that not all cracked teeth are immediately visible or detectable. Some cracks may be small or located in hard-to-reach areas, making them more challenging to diagnose. In such cases, the dentist may use additional methods, such as special dye or transillumination, to identify the crack.
Overall, diagnosing a cracked tooth requires a comprehensive examination and the use of diagnostic tools. It is crucial to seek professional dental care if you suspect you have a cracked tooth. A dental professional will be able to accurately diagnose the problem and provide the necessary treatment to restore your oral health.
Treatment Options for a Cracked Tooth
A cracked tooth can be both painful and concerning, but the good news is that there are several treatment options available to fix it. The specific course of treatment will depend on factors like the severity of the crack and the affected tooth. Let’s explore the various treatment options for a cracked tooth.
Dental Bonding
Dental bonding is a popular and effective treatment option for minor cracks in a tooth. It involves applying a tooth-colored resin material to the cracked area and sculpting it into the desired shape. The resin is then hardened with a special light, bonding it to the tooth and improving its strength and appearance. Dental bonding is a relatively quick and affordable treatment option, making it an excellent choice for minor cracks.
Dental Veneers
In cases where the crack is more severe or affects the front teeth, dental veneers can be a suitable treatment option. Dental veneers are thin, custom-made shells that are bonded to the front surface of the tooth, effectively covering up any visible cracks or imperfections. Veneers are durable and provide a natural-looking result, making them an excellent choice for enhancing the appearance of cracked teeth.
Dental Crowns
For more significant cracks that have weakened the tooth’s structure, dental crowns can provide a reliable solution. A dental crown is a cap-like restoration that completely covers the damaged tooth, providing strength and protection. The process involves preparing the tooth, taking impressions, and having a custom crown made in a dental laboratory. Dental crowns are known for their durability and can significantly extend the lifespan of a cracked tooth.
Root Canal Therapy
In cases where the crack extends deep into the tooth and reaches the dental pulp, root canal therapy may be necessary. This treatment involves removing the infected or damaged pulp, cleaning and disinfecting the root canal space, and filling it with a dental material. Afterward, a dental crown is usually placed on the tooth to restore its strength and protect it from further damage. While root canal therapy may sound intimidating, it is a highly successful treatment option for saving cracked teeth.
Tooth Extraction
In severe cases where the crack has extensively damaged the tooth and it cannot be saved, tooth extraction may be the only viable option. Although tooth extraction is typically considered a last resort, it can be necessary to prevent further complications and maintain oral health. Following a tooth extraction, various options like dental implants, bridges, or dentures can be explored to replace the missing tooth and restore functionality and aesthetics.
In conclusion, the treatment options for a cracked tooth are diverse and can be tailored to each individual case. Whether it’s dental bonding, dental veneers, dental crowns, root canal therapy, or tooth extraction, consulting with a qualified dentist is crucial for determining the most suitable course of treatment. Remember, early intervention is key when it comes to addressing a cracked tooth to prevent further damage and ensure a healthy smile.
Preventing Cracked Teeth
Cracked teeth can cause significant discomfort and may require extensive dental treatment. Fortunately, there are several preventative measures you can take to reduce the risk of experiencing a cracked tooth. By following these guidelines, you can protect your teeth and maintain a healthy smile.
Avoid Biting into Hard Objects: One of the primary causes of cracked teeth is biting down on hard objects, such as ice, popcorn kernels, or non-food items like pen caps or bottle caps. These hard objects can exert excessive force on your teeth and lead to cracks. Therefore, it is important to be mindful of what you put in your mouth and avoid biting down on anything that could potentially damage your teeth.
Wear a Mouthguard during Sports Activities: If you participate in sports activities that involve physical contact or the risk of falls, wearing a mouthguard is essential. A mouthguard acts as a protective barrier, cushioning your teeth from direct impact. By wearing a mouthguard, you can significantly reduce the chance of sustaining a cracked tooth or other dental injuries.
Practice Good Oral Hygiene: Maintaining proper oral hygiene is crucial in preventing cracked teeth. Brush your teeth at least twice a day with a soft-bristled toothbrush and fluoride toothpaste. Floss daily to remove plaque and food debris from between your teeth and along the gumline. Rinse with an antibacterial mouthwash to further eliminate any bacteria that can cause tooth decay. By keeping your teeth clean and free of plaque, you decrease the risk of weakened enamel and dental fractures.
Regularly Visit a Dentist for Check-Ups and Preventative Care: Regular dental check-ups are essential for early detection and prevention of dental issues, including cracked teeth. Dentists have the necessary expertise to identify potential problems and recommend appropriate treatment or preventative measures. During your dental appointments, your dentist may perform X-rays, dental cleanings, and examinations to ensure your teeth are in good condition. Additionally, they can provide valuable insights on proper oral care techniques and techniques to prevent cracked teeth.
Eat a Balanced Diet: Consuming a balanced diet that is rich in vitamins and minerals is essential for maintaining strong and healthy teeth. Foods that are high in calcium, such as dairy products, help strengthen tooth enamel, making them less susceptible to cracks. Additionally, eating foods that are rich in vitamin C, such as citrus fruits and leafy greens, can improve your gum health and promote overall dental well-being.
Avoid Teeth Grinding: Teeth grinding, also known as bruxism, can exert excessive forces on your teeth and lead to cracks. It often occurs during sleep or as a response to stress. If you suspect you grind your teeth, it is important to consult your dentist. They may recommend a nightguard or other treatment options to prevent further damage to your teeth.
By following these preventative measures, you can significantly reduce the risk of experiencing a cracked tooth. Remember to prioritize your oral health and seek professional advice from your dentist if you have any concerns. Taking proactive steps today can save you from potential tooth pain and costly dental treatments in the future.
Conclusion
When it comes to a cracked tooth, taking prompt action and seeking professional dental care is of utmost importance. This not only helps prevent further damage but also ensures optimal oral health in the long run.
A cracked tooth can occur due to various reasons such as trauma, biting on hard objects, tooth decay, or old dental fillings. Regardless of the cause, it is essential to address the issue promptly to avoid complications and discomfort.
One of the first steps in fixing a cracked tooth is to schedule an appointment with a dentist. They will examine the extent of the damage and recommend the most suitable treatment option. Ignoring a cracked tooth may lead to more severe issues such as infections, abscesses, or even tooth loss.
In some cases, a cracked tooth can be repaired with dental bonding, where a tooth-colored resin material is applied and hardened using a special light. Dental bonding is a relatively simple procedure and can help restore the appearance and functionality of the cracked tooth.
However, for more severe cracks or if the crack extends into the tooth’s pulp, additional treatments may be necessary. These options may include a dental crown, root canal therapy, or even tooth extraction, depending on the severity of the crack and the overall oral health of the patient.
A dental crown is a cap-like structure that is placed over the cracked tooth to restore its shape, strength, and appearance. This procedure involves removing some of the tooth’s structure to create space for the crown. Once the crown is placed, it protects and strengthens the cracked tooth while blending seamlessly with the rest of the natural teeth.
If the crack has reached the tooth’s pulp, a root canal may be required. This involves removing the infected or damaged pulp, cleaning the root canal, and sealing it off to prevent further infection. A dental crown is usually placed after a root canal to provide additional protection and support to the treated tooth.
In some cases, a cracked tooth may be beyond repair and extraction becomes necessary. Although tooth extraction is usually considered a last resort, it may be the best option to alleviate pain and prevent the spread of infection to surrounding teeth or tissues. After extraction, the dentist may discuss tooth replacement options to restore function and aesthetics.
Once a cracked tooth is treated, it is essential to follow proper oral hygiene practices to maintain its health. This includes brushing twice a day with a soft-bristled toothbrush, flossing daily, and visiting the dentist regularly for check-ups and cleanings.
In conclusion, when faced with a cracked tooth, it is crucial to take action promptly and seek professional dental care. Ignoring a cracked tooth can lead to further damage and potential complications. By seeking timely treatment, individuals can restore the appearance, function, and health of their teeth, ensuring a beautiful and healthy smile for years to come.

