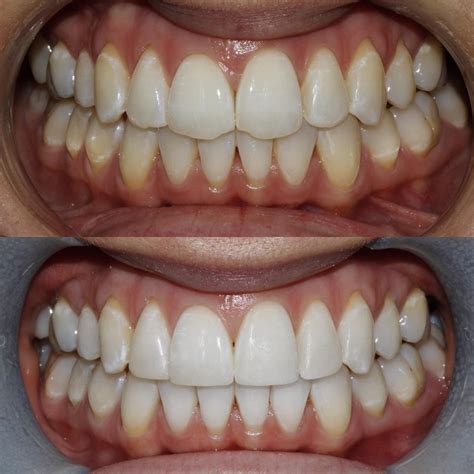
What is composite bonding?
Composite bonding is a popular and effective dental treatment that is used to restore and enhance the appearance of teeth. It involves the application of a tooth-colored composite resin material to repair and improve teeth imperfections. This treatment is commonly used to address issues such as chips, gaps, discoloration, and even minor misalignment.
The composite resin material used in this process is a mixture of fine glass particles and acrylic. It is carefully selected to match the natural shade of your teeth, creating a seamless and natural-looking result. The resin is applied to the affected tooth, where it bonds directly to the tooth structure, effectively covering imperfections and providing a durable and aesthetic solution.
One of the significant advantages of composite bonding is its versatility. It can be used to address a variety of cosmetic concerns, including restoring chipped or broken teeth, filling in gaps or spaces between teeth, and improving the overall shape and size of teeth. This treatment can also be used to enhance the color of teeth and give them a more uniform appearance.
The process of composite bonding is relatively simple and straightforward. First, the dentist will prepare the tooth by gently etching the surface to create a rough texture. This helps to facilitate the bonding process and ensures a stronger bond between the resin and the tooth. Next, the resin is carefully applied and shaped to achieve the desired result. The dentist will then use a special curing light to harden the resin, making it durable and resistant to wear. Finally, the composite resin is polished to give it a smooth and natural finish.
Composite bonding offers several benefits compared to other dental treatments. Firstly, it is a minimally invasive procedure that does not require the removal of a significant amount of tooth structure. This means that the natural tooth remains largely intact, contributing to its long-term health and strength. Additionally, composite bonding is a relatively quick treatment option, with most procedures completed in just one visit to the dentist’s office.
Regarding cost, the price of composite bonding can vary depending on various factors. These factors include the extent of the treatment needed, the number of teeth being treated, the location of the dental practice, and the expertise of the dentist. On average, the cost of composite bonding ranges from $200 to $600 per tooth.
It is important to note that dental insurance plans may not always cover the cost of composite bonding, as it is considered a cosmetic procedure rather than a necessary dental treatment. However, it is recommended to consult with your dental insurance provider to determine if any coverage is available.
In conclusion, composite bonding is a versatile and effective dental treatment for improving the appearance of teeth. It is a relatively simple and minimally invasive procedure, offering a natural-looking solution to various cosmetic concerns. While the cost of composite bonding can vary, it provides an affordable option for enhancing your smile and restoring teeth imperfections.
Typical cost range for composite bonding
Composite bonding is an affordable and effective cosmetic dental procedure that can help improve the appearance of teeth. It involves the application of a tooth-colored resin material onto the tooth surface, which is then shaped and polished to blend in with the surrounding teeth.
When considering composite bonding, it’s important to understand the typical cost range associated with this procedure. On average, the cost of composite bonding can range from $150 to $650 per tooth. However, it’s important to note that this cost can vary depending on a variety of factors.
One of the factors that can influence the cost of composite bonding is the location of the dental practice. Dental practices in larger cities or more affluent areas may charge higher fees compared to those in smaller towns or less populated regions.
The complexity of the case is another factor that can affect the cost. If extensive shaping and contouring of the tooth is required or if multiple teeth need to be bonded, the cost may be higher. Additionally, if the bonding is being done on a front tooth or a highly visible area, extra care and attention to detail may be necessary, which can also increase the cost.
The skill and experience of the dentist can also play a role in the cost of composite bonding. Highly experienced dentists who have undergone additional training in cosmetic dentistry may charge higher fees for their expertise. However, it’s essential to remember that a higher cost does not always guarantee better results. It’s important to choose a dentist who has a proven track record of successful composite bonding procedures.
Insurance coverage can also impact the overall cost. While composite bonding is primarily considered a cosmetic procedure, some dental insurance plans may provide partial coverage, especially if the bonding is being done to repair a chipped tooth or to correct a tooth defect. It’s advisable to check with your dental insurance provider to understand the extent of your coverage.
Finally, it’s crucial to keep in mind that the cost of composite bonding is an investment in your smile and confidence. The benefits of composite bonding extend beyond aesthetics, as it can also help improve the function and strength of the teeth.
In conclusion, the typical cost range for composite bonding is $150 to $650 per tooth. However, the actual cost can vary depending on factors such as the location of the dental practice, the complexity of the case, the skill and experience of the dentist, insurance coverage, and more. Consulting with a qualified dentist is the best way to determine the specific cost of composite bonding for your individual needs.
Additional costs to consider
When considering composite bonding as a dental treatment option, it is important for patients to be aware of the additional costs that may be involved in the process. While the cost of the actual composite bonding treatment is a significant factor, there are other expenses that need to be taken into account.
One of the additional costs to consider is the dental consultation fee. Before undergoing composite bonding, it is common for patients to have an initial consultation with their dentist. During this appointment, the dentist will examine the patient’s teeth and discuss their treatment goals and expectations. The consultation fee usually covers the time and expertise of the dentist, as well as any necessary X-rays or images that need to be taken.
Speaking of X-rays, they are another potential cost to consider. X-rays may be required before the composite bonding treatment to assess the condition of the teeth beneath the surface. These images can help the dentist identify any underlying issues that need to be addressed prior to the bonding procedure. The cost of X-rays can vary depending on the dental clinic and the number of images needed.
In some cases, preparatory treatments may also be necessary before composite bonding can take place. For example, if the patient has decayed or damaged teeth, they may require fillings or other restorative work before the bonding can be done. These preparatory treatments can increase the overall cost of the dental procedure.
Furthermore, additional costs may be incurred if the patient chooses to have additional cosmetic treatments alongside the composite bonding. For instance, if the patient wants to whiten their teeth before the bonding procedure, the cost of the teeth whitening treatment will need to be considered. The same applies if the patient decides to have other cosmetic procedures done, such as veneers or crowns.
It is important for patients to discuss these potential additional costs with their dentist during the initial consultation. This way, patients can have a clear understanding of the total cost involved in the composite bonding treatment and can plan accordingly. Some dental clinics may offer package deals or discounts for multiple procedures, which is worth considering when budgeting for composite bonding.
While the cost of composite bonding itself might be the primary concern for patients, it is essential to consider all the additional costs that may arise during the course of the treatment. By being aware of these potential expenses from the beginning, patients can be better prepared financially and can make informed decisions about their dental care.
Insurance coverage for composite bonding
When it comes to dental procedures, many people wonder if their dental insurance will cover the costs. Composite bonding is a popular cosmetic dental treatment that involves applying a tooth-colored resin material to the teeth to improve their appearance. However, most dental insurance plans do not cover composite bonding procedures for purely cosmetic purposes.
The primary focus of dental insurance is to provide coverage for preventive and necessary dental treatments such as cleanings, fillings, and extractions. Cosmetic procedures like composite bonding are typically considered elective and not medically necessary, which is why they may not be covered by insurance.
However, there are situations in which dental insurance may cover composite bonding. If the treatment is deemed necessary for functional reasons, such as repairing chipped or cracked teeth that can impact proper chewing or speaking, insurance coverage may be more likely. Additionally, if composite bonding is included as part of a larger dental restoration process, such as a dental bridge or crown, insurance may provide coverage for the entire treatment plan.
It’s important to note that insurance coverage can vary greatly depending on the specific dental insurance plan and the individual’s unique circumstances. Some plans may offer limited coverage for cosmetic procedures, while others may not cover them at all. It is recommended to review the details of your dental insurance policy or contact your insurance provider to determine the extent of coverage for composite bonding.
For those who do not have dental insurance coverage for composite bonding, there are other options to consider. Many dental clinics offer flexible payment plans or financing options to help make cosmetic dental treatments more affordable. Additionally, some dental discount plans or membership programs provide discounts on various dental procedures, including composite bonding.
Prior to undergoing any dental treatment, it is advisable to consult with a dentist to determine the best course of action and understand the potential costs involved. The dentist can evaluate the dental condition, discuss treatment options, and provide a cost estimate for composite bonding.
In conclusion, while dental insurance plans may not typically cover composite bonding procedures for purely cosmetic reasons, there may be situations where coverage is available for functional or restorative purposes. It is essential to review the specifics of the dental insurance policy and consult with a dentist to understand the coverage and potential costs involved in composite bonding.
Alternative options to consider
If the cost of composite bonding is prohibitive, there are alternative treatments that individuals can consider to address their dental needs within their budget. Two common alternatives are dental veneers and dental crowns.
Dental veneers are thin shells made of porcelain or composite resin that are custom-made to fit over the front surface of the teeth. They are designed to cover imperfections such as stains, chips, or gaps, and can improve the appearance of the teeth. Veneers are a more conservative option compared to dental crowns, as they require minimal removal of tooth structure.
Dental crowns, also known as caps, are tooth-shaped coverings that encase the entire visible portion of the tooth. They are typically made of porcelain, ceramic, metal, or a combination of these materials. Dental crowns can restore the strength, function, and appearance of severely damaged or decayed teeth. They are often recommended when a tooth has undergone extensive dental work, has a large filling, or has undergone root canal treatment.
Both dental veneers and dental crowns have their own benefits and considerations. The choice between the two depends on factors such as the extent of the dental issue, the desired outcome, and the individual’s budget.
When considering dental veneers or dental crowns as alternatives to composite bonding, it is important to consult with a qualified dentist who can assess the individual’s specific dental needs. The dentist will examine the teeth, discuss the treatment options, and provide a cost estimate.
The cost of dental veneers and dental crowns can vary depending on various factors, including the material used, the complexity of the case, and the geographic location. Generally, dental veneers tend to be less expensive than dental crowns.
It is worth noting that while the initial cost of dental veneers or dental crowns may be higher than composite bonding, these treatments can offer long-lasting results and provide greater durability. This can potentially save individuals from having to undergo frequent repairs or replacements in the future.
Some dental insurance plans may cover a portion of the cost for alternative treatments like dental veneers or dental crowns, depending on the individual’s policy. It is recommended to check with the insurance provider to determine the extent of coverage.
In summary, if the cost of composite bonding is not within an individual’s budget, alternatives such as dental veneers and dental crowns can be considered. These treatments can address various dental concerns and provide long-lasting results. Consulting with a dentist is essential to determine the most suitable treatment option and to obtain an accurate cost estimate.

